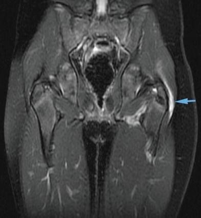
Trochanteric Bursitis
The most common reason for Lateral (outer) hip pain is Trochanteric Bursitis.
This is inflammation of the trochanteric bursa.This bursa is at the top, outer side of the femur. It has the function of working as a shock absorber and as a lubricant for the movement of the muscles adjacent to it, especially the Ilio-Tibial Band (ITB). This is a strong sheet of tissue that runs from the Pelvis all the way past the knee to insert into the Tibia.
The ITB can get tight over time or due to general deconditioning and poor gait. The ITB will cause friction over the Trochanteric Prominence causing the Bursa to get inflamed.
 
 
This condition is more common in middle-aged women and is associated with a chronic and debilitating pain which does not respond to conservative treatment.The mainstay of conservative,non-operative treatment consists of:
- Weight Loss
- ITB stretches
- Core Strengthening
- Gait retrainingThis can be augmented with
- Anti-inflammatory medication
- Intra-bursal Steriod and Local Aneasthetic injection
 
    
    
Source - www.sports-Injury-info.com
If this treatment plan is followed there is an 80% success- however, can take 8-12mths for complete resolution. If symptoms fail to resolve then surgical ITB release and Bursectomy is an option. Sometimes the Abductor Tendons are degenerate, inflamed and can be ruptured which will need repairing as well.
Below is a video demonstrating the surgical technique using LARS ligament Graft.
https://www.coringroup.com/au/solutions/lars/
Sub-Menu
- Adult Total Hip Replacements
- Hip Resurfacing Arthroplasty
- Adult Total Knee Replacements
- Adult Revision Hip And Knee Replacements
- Unicompartmental Knee Replacement
- Anterior Cruciate Ligament Reconstruction
- Ankle Reconstruction
- Foot Disorders
- HTO (High Tibial Osteotomy)
- Lower Limb Trauma
- OATS (Osteochondral Autologous Transplantation Surgery)
- Trochanteric Bursitis Surgery
- Knee Arthroscopy
- Surgery for Patella Instability
- Bone Tendon Bone Allograft ACL Reconstruction